Abstract
Background Mutations in the epigenetic regulator ASXL1 frequently co-occur with myeloproliferative neoplasm (MPN) driver mutations and are associated with adverse prognosis, especially in the context of myelofibrosis (MF). Notably, the generally good outcome of CALR mutant MPN is markedly impaired by the co-occurrence of mutations in ASXL1. How ASXL1 mutations cooperate with CALR mutations to promote disease progression, however, remains unknown. Here, we investigated the effects of Asxl1 co-mutation in a Calrdel52 essential thrombocythemia (ET) mouse model to understand the molecular changes that Asxl1 mutations engender in MPN.
Methods We utilized MxCre (Kuhn et al., 1995), MxCre-Asxl1mut (Nagase et al., 2018), MxCre-Calrdel52 (Li et al., 2018) and MxCre-Calrdel52-Asxl1mut mice. Cre expression in the bone marrow was induced by polyinosinic polycytidylic acid injection at 8 weeks of age. We analyzed complete blood counts in 70-week-old mice, and at 78 weeks of age, spleen and bone marrow histology was assessed. Megakaryocytes were differentiated ex vivo from mice 4 weeks after induction of Cre expression. Global chromatin profiling (GCP), a targeted quantitative LC-MS/MS approach, was used to profile global changes in histone H3 marks (Creech et al., 2015). Finally, we conducted RNAseq to analyze differentially expressed genes in megakaryocytes.
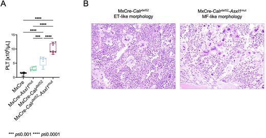
Results MxCre-Calrdel52-Asxl1mut mice had significantly higher platelet counts compared to MxCre-Calrdel52 mice (10.0 vs. 5.8 x106/µL, p<0.0001, Figure panel A) and became more anemic with age (6.5 vs. 7.9 x106 red blood cells/µL, p=0.0053). Survival was not reduced in either group. MxCre-Calrdel52-Asxl1mut mice showed splenomegaly (5.4 mg/g body weight in MxCre-Calrdel52-Asxl1mut vs. 3.4 mg/g body weight in MxCre-Calrdel52, p=0.0234) and larger numbers of atypical megakaryocytes in the spleen compared to MxCre-Calrdel52 mice. In line with these data, histopathology of the bone marrow revealed increased numbers of megakaryocytes in MxCre-Calrdel52-Asxl1mut mice compared to MxCre-Calrdel52 (328 vs. 260 megakaryocytes/10 high power fields, p=0.0051). Strikingly, we observed two types of megakaryocyte morphologies: megakaryocytes with staghorn nuclei and hyperlobation, which are frequently seen in ET patients (ET-like); and megakaryocytes with bulbous and hyperchromatic nuclei and rounded contours, which are common in MF patients (MF-like). We observed that MxCre-Calrdel52-Asxl1mut mice more frequently presented with MF-like megakaryocytes (22.2% ET-like, 77.8% MF-like, n=9), whereas the majority of MxCre-Calrdel52 mice showed ET-like megakaryocytes (62.5% ET-like, 37.5% MF-like, n=8), suggesting chromatin-related nuclear changes in the megakaryocytic compartment (Figure panel B). To identify the mechanisms that drive this phenotype, we performed GCP and uncovered distinct changes in epigenetic marks in MxCre-Calrdel52-Asxl1mut megakaryocytes as compared to controls, e.g. H3S10 phosphorylation was markedly increased in MxCre-Calrdel52-Asxl1mut megakaryocytes. Furthermore, we observed lower abundance of H3K4me1/2/3, H3K9me3 and H3K27me2/3 in MxCre-Calrdel52-Asxl1mut megakaryocytes compared to both MxCre-Asxl1mut and MxCre-Calrdel52 single mutant mice. We then performed RNAseq to determine effects on gene expression. We found 481 genes with increased expression in MxCre-Calrdel52-Asxl1mut as compared to MxCre-Calrdel52 megakaryocytes, e.g. the homeobox genes Hoxa3, Hoxa9 and Meis3. In addition, we identified 202 downregulated genes, including regulators of stem cell proliferation such as Kitl, Hmga2, Vegfc and Fgfr.
Conclusion Here, we established a Calrdel52-Asxl1mut mouse model and found an exacerbation in MPN phenotype, consistent with observations in human CALR mutant MPN. Our data show that mutant Asxl1 drives the development of an aberrant MF-associated megakaryocyte phenotype in Calrdel52 mice, with distinct changes in H3 epigenetic marks that alter the gene expression signature of Calrdel52-Asxl1mut megakaryocytes. These results lay the foundation for ongoing studies to identify megakaryocyte-specific molecular targets that drive MPN progression in Calrdel52-Asxl1mut mice. Our long-term goal is to identify novel therapeutic targets in patients with MF harboring ASXL1 mutations.
Disclosures
Carr:PTM BioLabs: Membership on an entity's Board of Directors or advisory committees; Seer, Inc.: Membership on an entity's Board of Directors or advisory committees; Kymera: Membership on an entity's Board of Directors or advisory committees. Mullally:Relay Therapeutics: Research Funding; Aclaris Therapeutics: Consultancy; Cellarity: Consultancy; Morphic Therapeutics: Consultancy; Biomarin Pharmaceuticals: Consultancy; Constellation: Membership on an entity's Board of Directors or advisory committees; PharmaEssentia: Membership on an entity's Board of Directors or advisory committees; Janssen: Research Funding; Actuate Therapeutics: Research Funding.
Author notes
Asterisk with author names denotes non-ASH members.

This feature is available to Subscribers Only
Sign In or Create an Account Close Modal